

Treatments
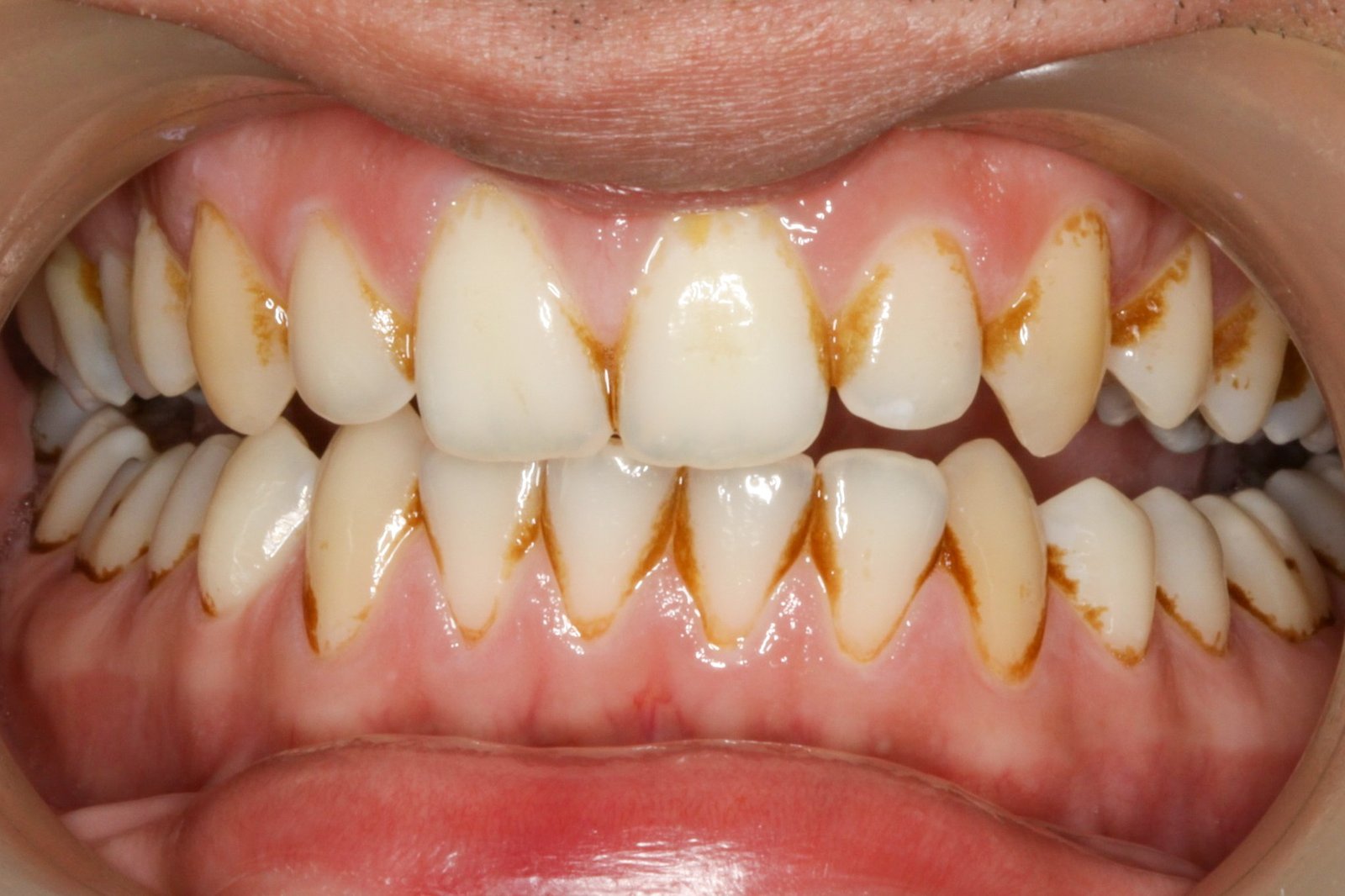
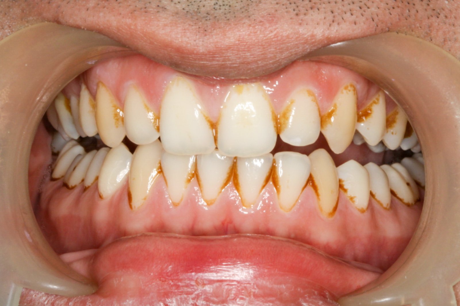
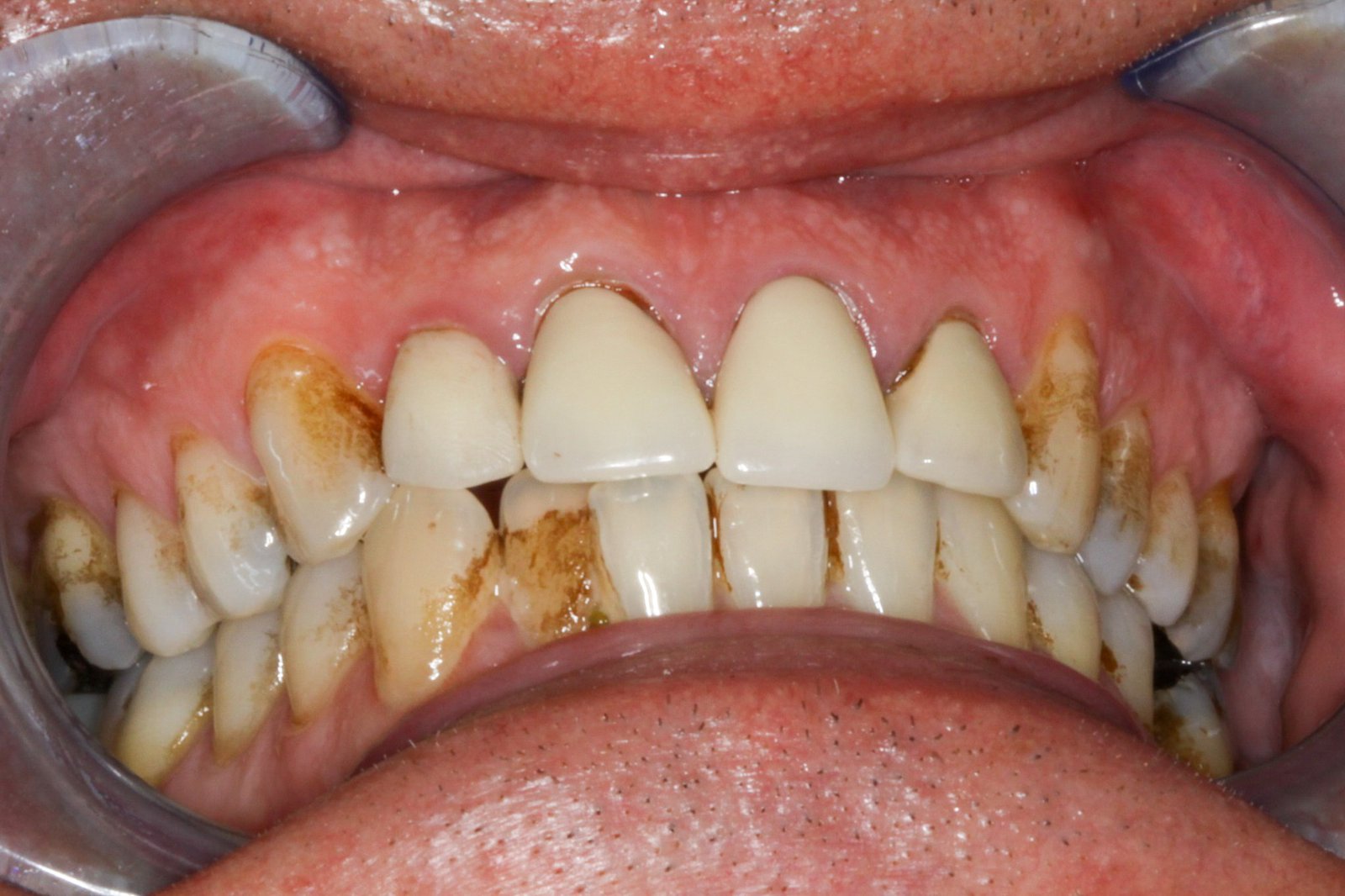
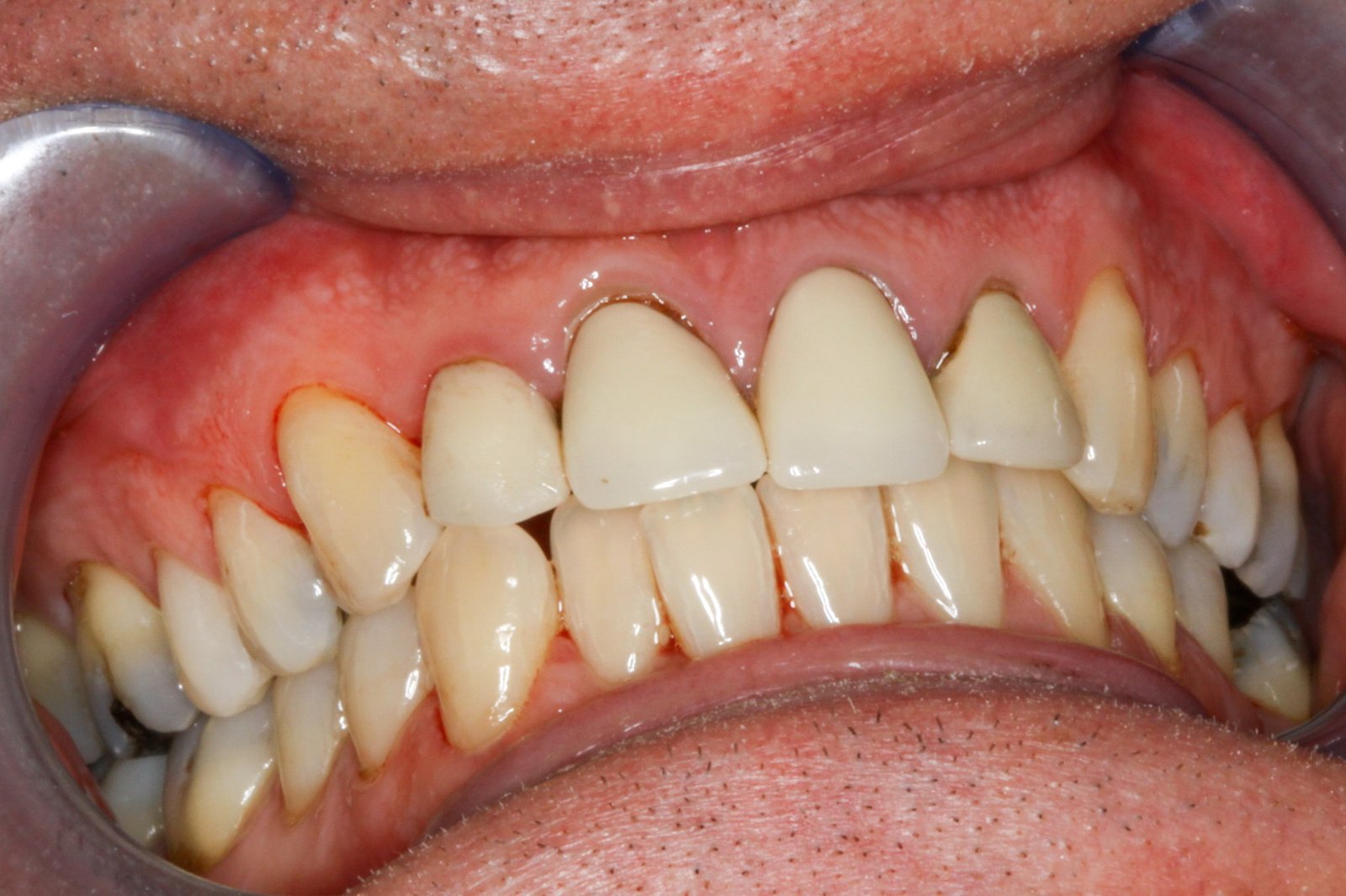
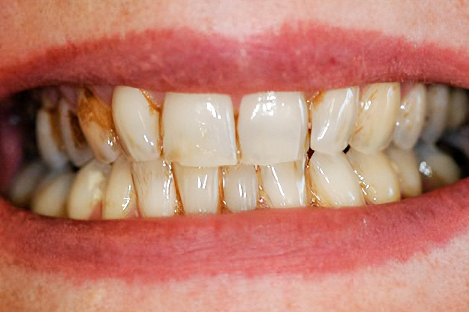
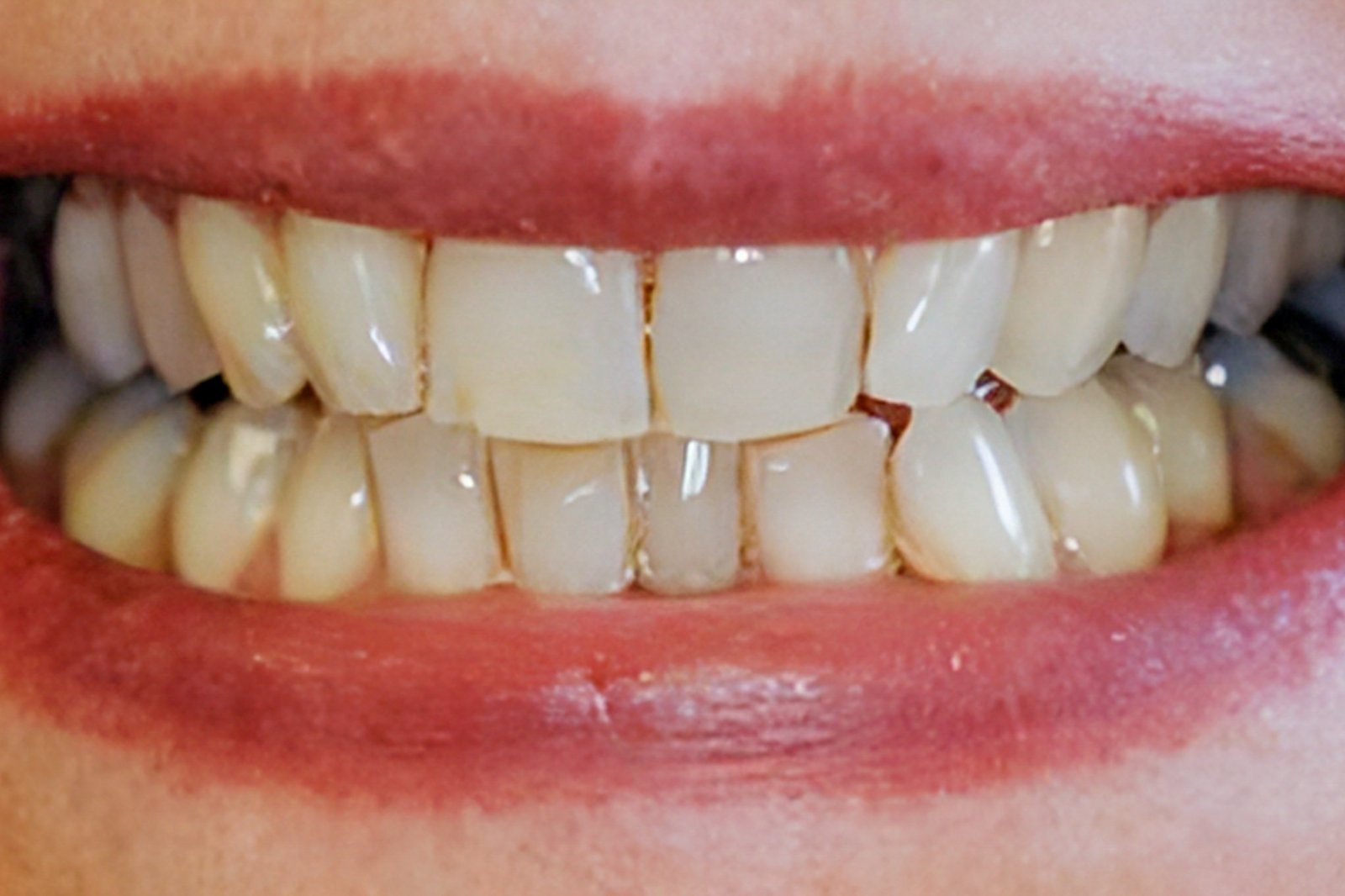
Airflow cleaning is an easy and effective way to remove surface stains, giving you a visibly brighter, whiter smile. It uses a controlled jet of air, water, and fine bicarbonate particles to gently polish away staining from the tooth surface.
Tooth surface staining is a common part of everyday life, but this simple, effective treatment could be just what you’ve been looking for!
Over time, the brightness of your teeth can fade due to the foods, drinks, and habits we pick up. The main culprits include tea, coffee, red wine, curry, tobacco, and products containing chlorhexidine.
The airflow cleaning treatment is performed by our experienced dental hygienist and usually takes around 30 minutes. During the appointment, your teeth will be cleaned using a jet of air, water, and bicarbonate. If needed, ultrasonic scaling may also be used to remove any tartar buildup.
No anaesthetic is required, and the procedure is completely pain-free.
How long the results last will depend on your diet, smoking habits, and oral hygiene routine. Most patients choose to have airflow cleaning as a maintenance treatment once a year.
If you’ve got a special occasion coming up, give us a call—we’ll help give your smile a quick refresh.











“Such a clean and friendly practice. You can tell Phil loves his job, he’s amazing at what he does. Tina the receptionist can’t do enough to help you. All the staff are super friendly and helpful. Would highly Recommend.”

“A huge thank you to Halima and Jess at Oakland Dental Practice. My orthodontic treatment took just over a year. Halima was absolutely brilliant in explaining each stage and went the extra mile to ensure all bases were covered. I’m really happy with my teeth.”

“Friendly professional atmosphere. Excellent routine dentistry and recently had amazing results with tooth whitening, would highly recommend practice.”

“Amazing dentist. Highly recommend. Received composite bonding treatment, did a perfect job.”

“Lovely clean practice, friendly staff, and the best cleaning I’ve had. Airflow left my mouth feeling brand new. Thank you Adele and Rosie. Great team!! See you soon.”

“Absolutely amazing service from all of the staff and I have been coming here for years. Kind, friendly and very helpful when talking you through your treatment. Dr Philip Eccles has kept me updated throughout the process and I am so happy with the outcome of my treatment. I couldn’t recommend Oakland Dental Family Practice enough!”