

Treatments
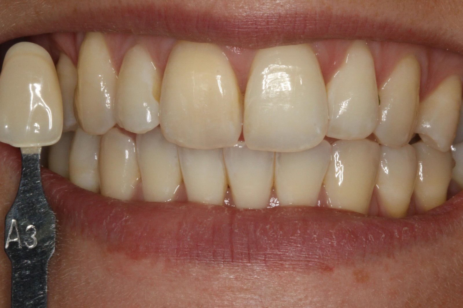
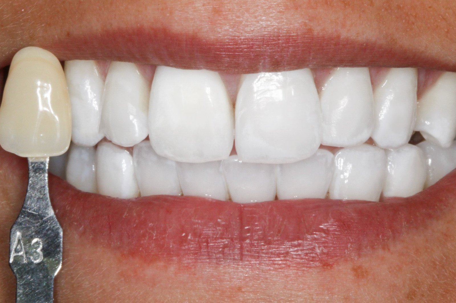
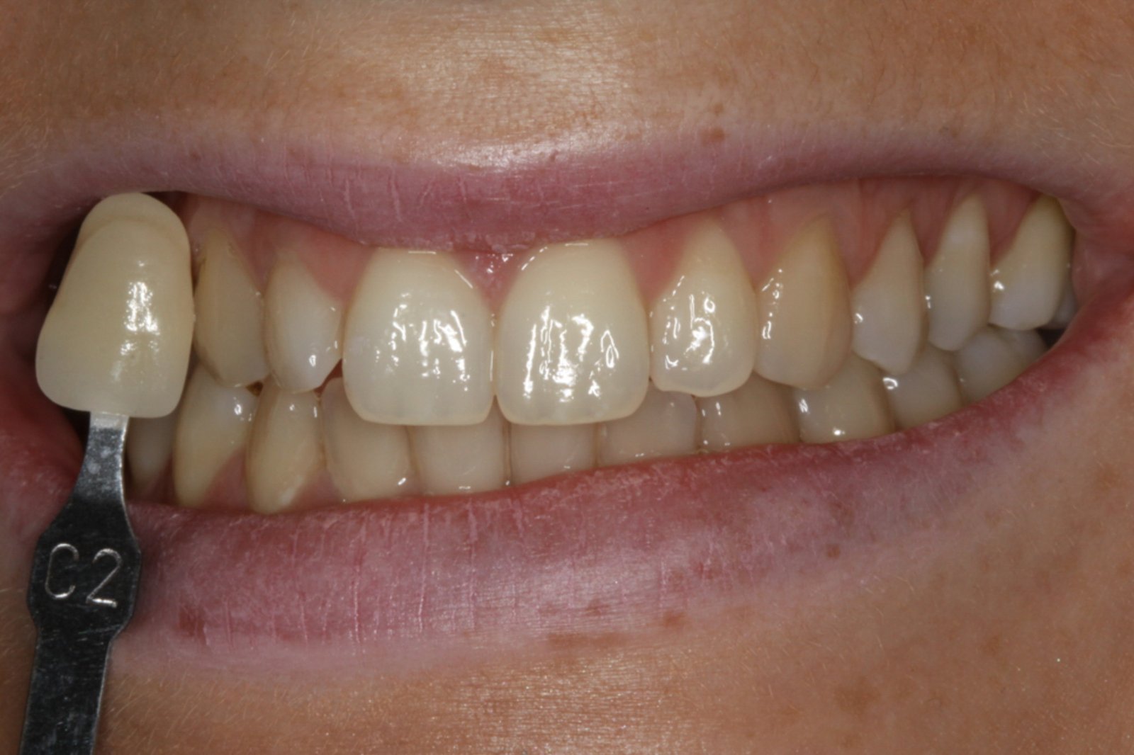
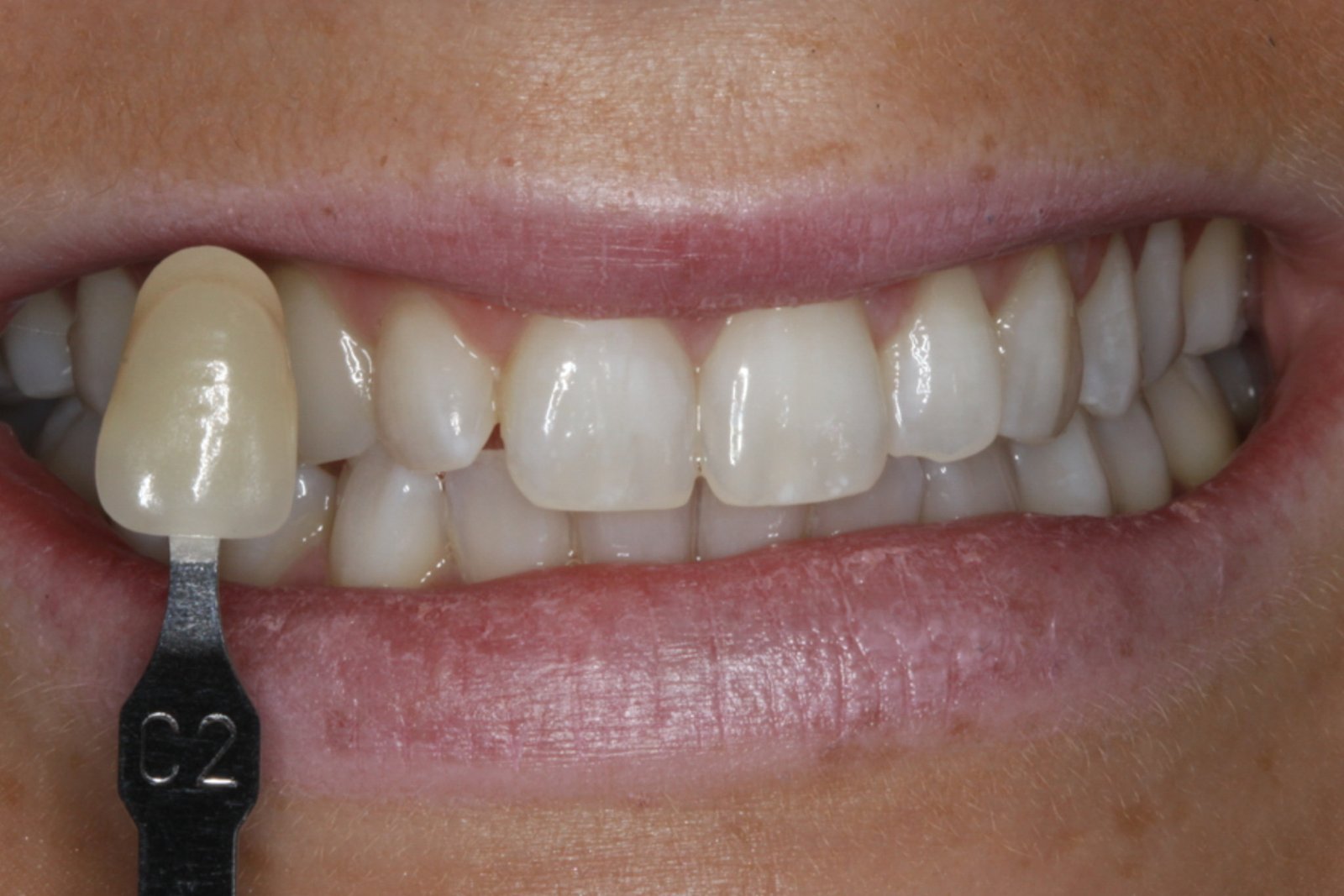
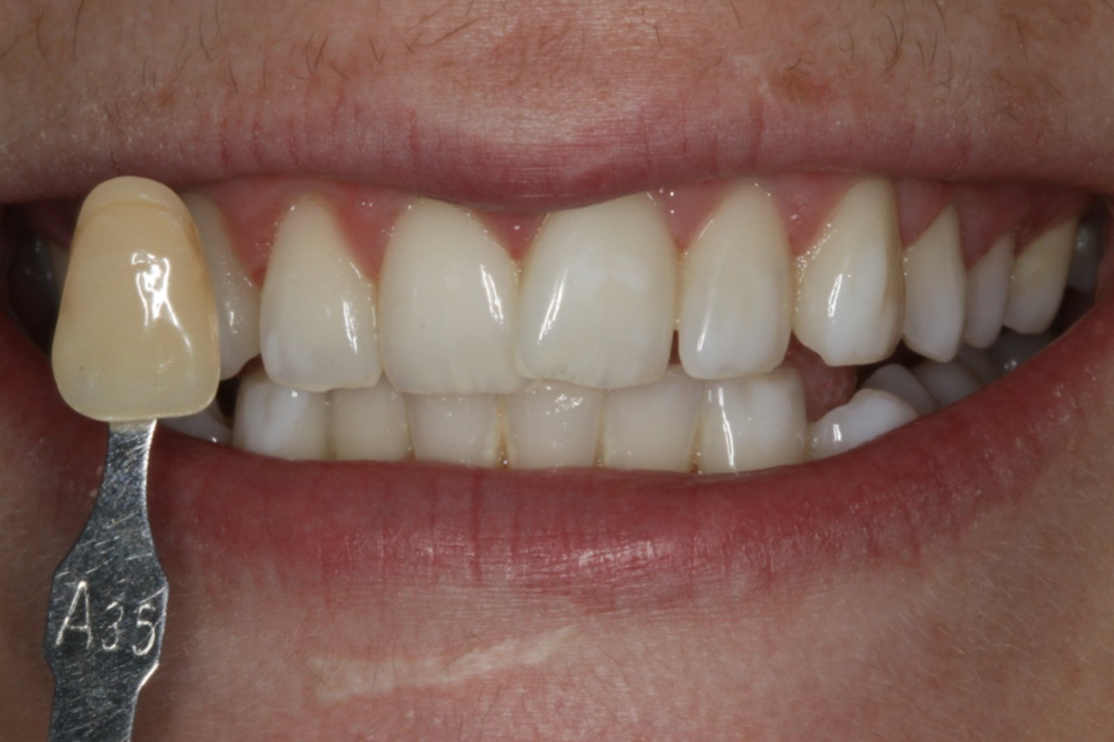
Teeth whitening is a fantastic way to brighten your smile without damaging or removing any tooth tissue. Over time, factors like ageing, smoking, tea, and coffee can cause teeth to yellow or discolour. A whiter smile can take years off your appearance, and with proper care and maintenance, the results can last for a long time.
Ultimately, how long whitening takes depends on your starting shade and how white you’d like your smile to be. With tray-based home whitening, most patients see their desired results within 14 days.
For those with deeper staining, such as tetracycline staining, the process may take longer, sometimes up to 6 months using a combination of whitening methods. Each home whitening kit provides gel for 24 nights, which generally covers your first top-up about 12 months later.
◉ Limit your intake of foods and drinks high in tannins
◉ Quit smoking
◉ Brush your teeth twice daily using a fluoride toothpaste – we often recommend Oral-B
◉ Use an electric toothbrush, as it removes food debris more effectively than a manual one
◉ Reduce sugary foods and drinks to no more than once a week
◉ Visit your dentist regularly
◉ Have regular hygienist cleanings
◉ Consider airflow tooth polishing for extra stain removal
Teeth whitening works by applying a hydrogen peroxide-based gel to the surface of the teeth. This specially formulated gel gently opens the pores of the outer enamel, allowing for effective and safe whitening of the tooth structure. While many dental and non-dental providers claim to offer teeth whitening, the results don’t always live up to the promises. For the best outcome and to avoid wasting time, money, or dealing with disappointment, it’s worth getting the treatment done properly, by a qualified professional, the first time.
With extensive experience in all types of whitening systems and a deep understanding of gel types and concentrations, we’ll choose the method that’s best suited to your smile. This ensures safe, effective treatment with predictable and pleasing results.
While your natural teeth respond well to whitening, any existing fillings or crowns won’t change colour and may need to be replaced to match your new, brighter smile. After whitening, we can renew old restorations to blend seamlessly with your updated tooth shade. We recommend waiting at least 7 days after whitening before replacing any restorations to ensure the best colour match.
Ultimately, how long whitening takes depends on your starting shade and how white you’d like your smile to be. With tray-based home whitening, most patients see their desired results within 14 days.
For those with deeper staining, such as tetracycline staining, the process may take longer, sometimes up to 6 months using a combination of whitening methods. Each home whitening kit provides gel for 24 nights, which generally covers your first top-up about 12 months later.











“Such a clean and friendly practice. You can tell Phil loves his job, he’s amazing at what he does. Tina the receptionist can’t do enough to help you. All the staff are super friendly and helpful. Would highly Recommend.”

“A huge thank you to Halima and Jess at Oakland Dental Practice. My orthodontic treatment took just over a year. Halima was absolutely brilliant in explaining each stage and went the extra mile to ensure all bases were covered. I’m really happy with my teeth.”

“Friendly professional atmosphere. Excellent routine dentistry and recently had amazing results with tooth whitening, would highly recommend practice.”

“Amazing dentist. Highly recommend. Received composite bonding treatment, did a perfect job.”

“Lovely clean practice, friendly staff, and the best cleaning I’ve had. Airflow left my mouth feeling brand new. Thank you Adele and Rosie. Great team!! See you soon.”

“Absolutely amazing service from all of the staff and I have been coming here for years. Kind, friendly and very helpful when talking you through your treatment. Dr Philip Eccles has kept me updated throughout the process and I am so happy with the outcome of my treatment. I couldn’t recommend Oakland Dental Family Practice enough!”