

Treatments
Oakland Family Dental Practice is a certified and trusted provider of Invisalign custom braces. We’ve embraced the latest orthodontic technology, helping many of our patients enjoy this modern alternative to traditional braces.
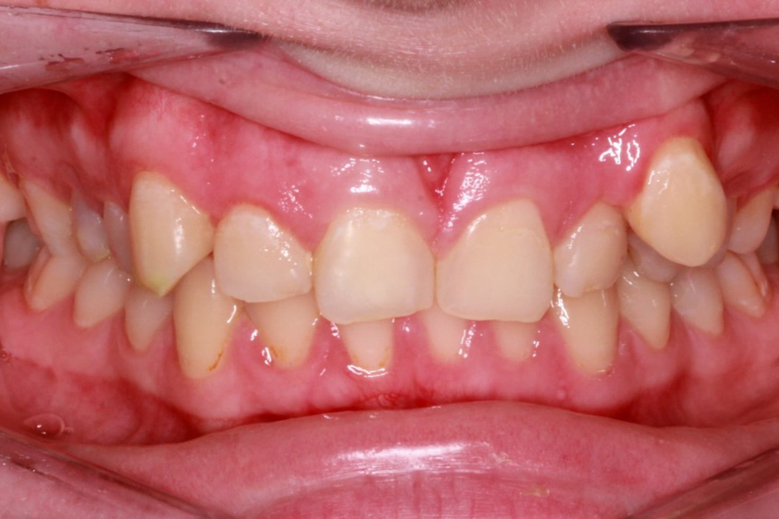
The treatment length depends on your starting point and how much your teeth need to move. Every case is uniquely designed for each patient. Some treatments may finish in a few weeks, while others can take several months. Our virtual ClinCheck provides a detailed timeline and a video simulation showing how your smile will look after treatment. It also lets you participate in the design process, so you can approve the smile you want before starting any treatment.
We offer a range of packages tailored to your needs. The main difference between them is the number of aligners included, with prices adjusted accordingly.
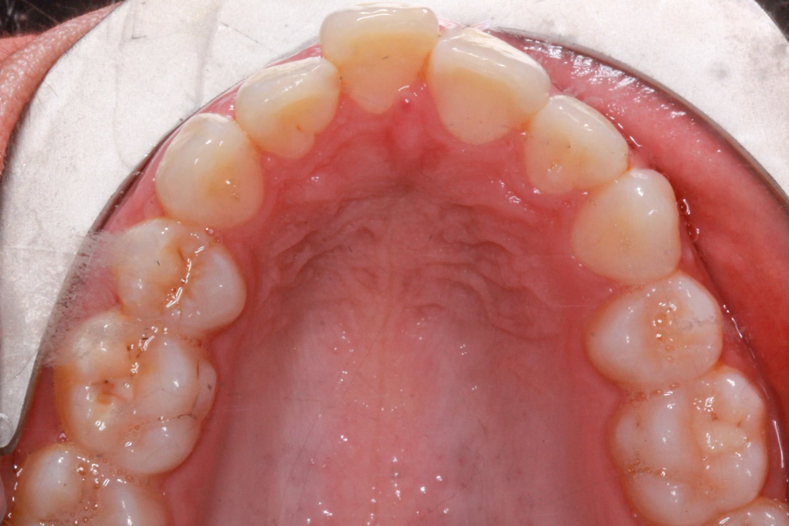
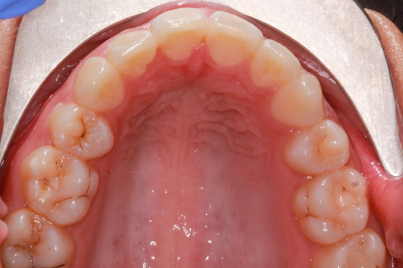
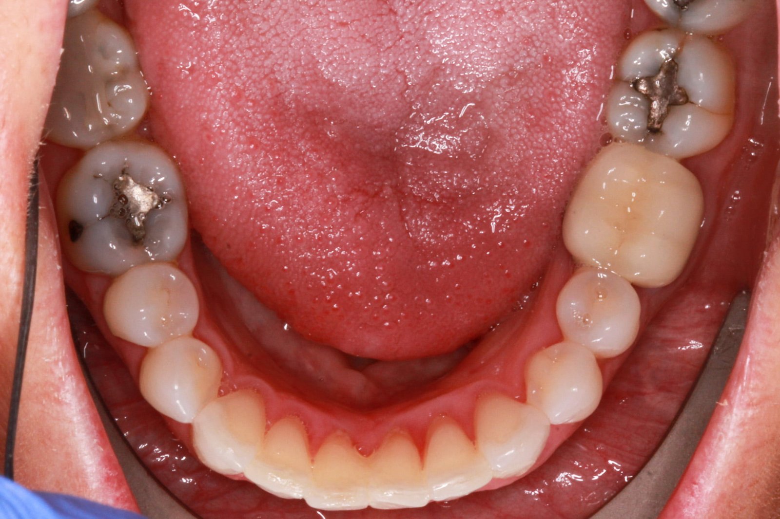
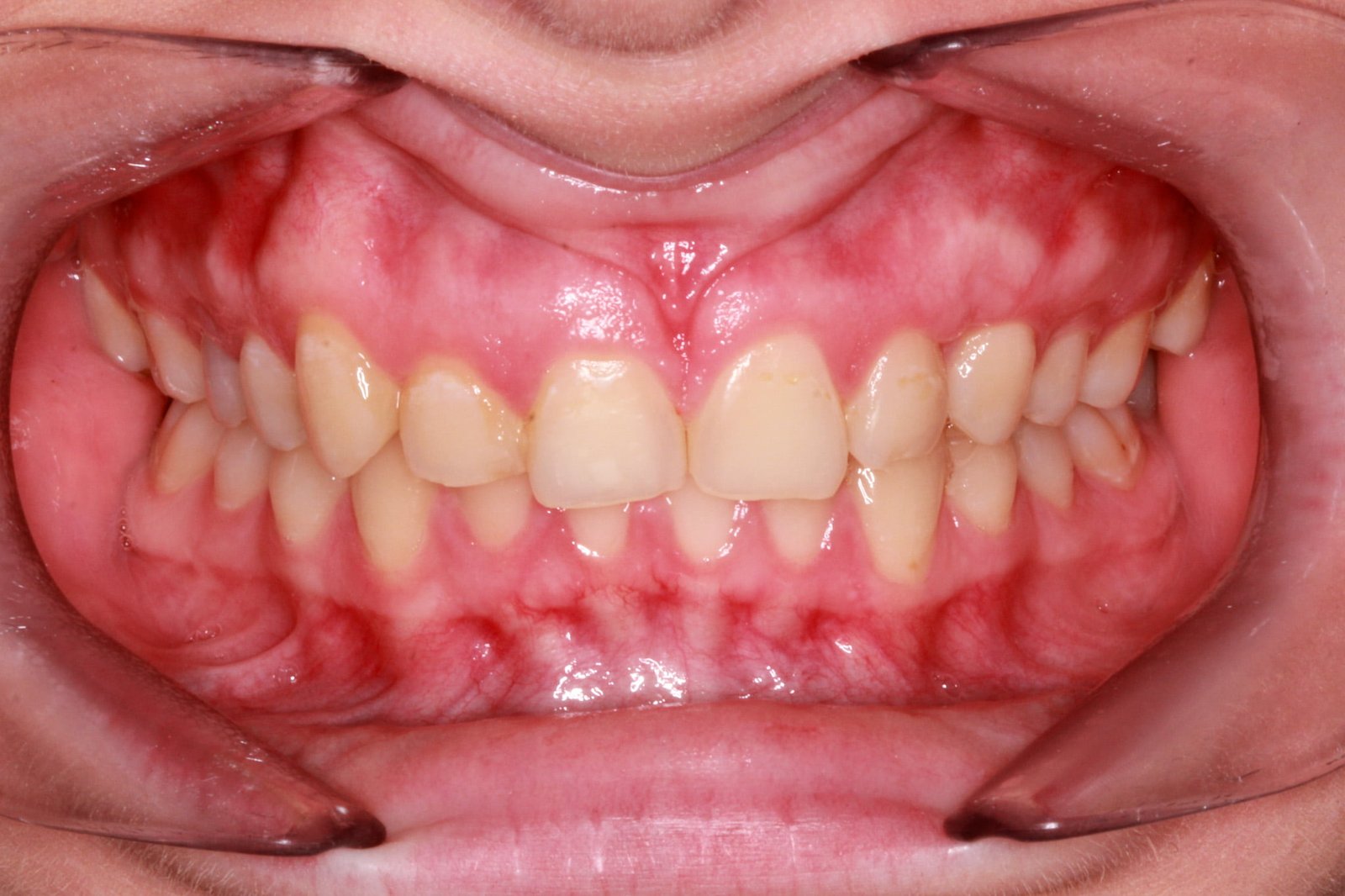
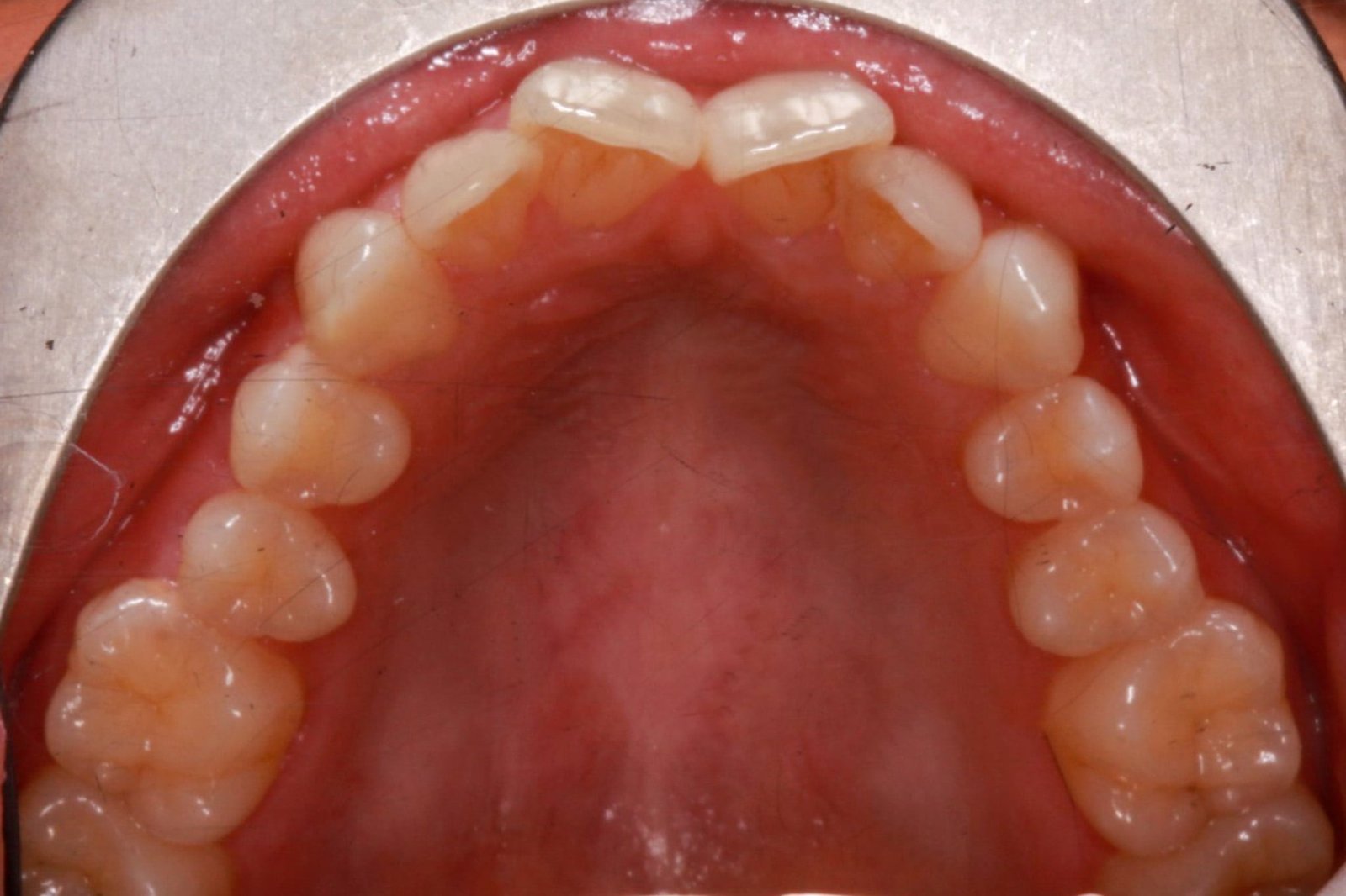
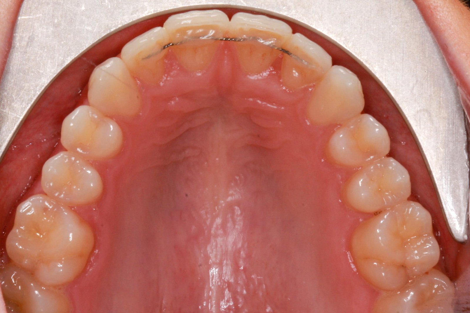
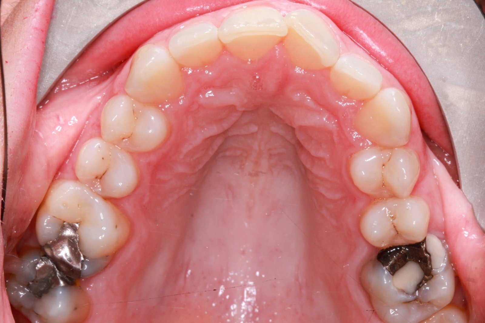
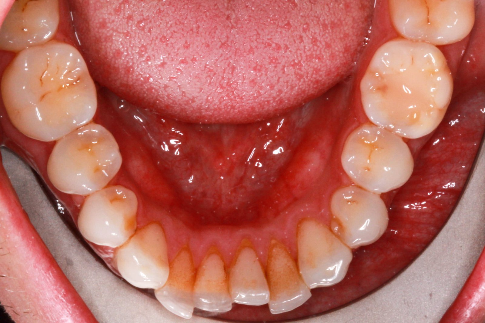
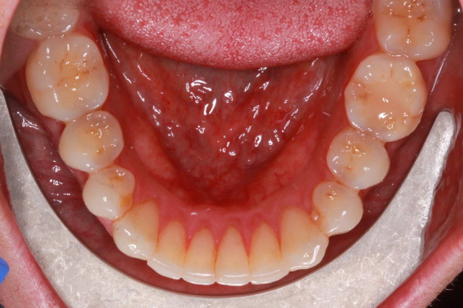
If you have all your adult teeth, most patients can benefit from Invisalign – even those with crowns and bridges. Invisalign can effectively address a variety of issues, including:
Invisalign uses 3D computer imaging to design a series of bespoke custom clear aligners. These aligners gently shift your teeth bit by bit, helping you achieve a straight, confident smile. Virtually invisible, they offer a discreet alternative to traditional metal braces. Each aligner is typically worn for one to two weeks.
The treatment length depends on your starting point and how much your teeth need to move. Every case is uniquely designed for each patient. Some treatments may finish in a few weeks, while others can take several months. Our virtual ClinCheck provides a detailed timeline and a video simulation showing how your smile will look after treatment. It also lets you participate in the design process, so you can approve the smile you want before starting any treatment.
We offer a range of packages tailored to your needs. The main difference between them is the number of aligners included, with prices adjusted accordingly.
If you have all your adult teeth, most patients can benefit from Invisalign – even those with crowns and bridges. Invisalign can effectively address a variety of issues, including:
Simply call or click to book your consultation and start your Invisalign journey. We’ll talk about the parts of your smile you want to improve and the features you want to keep. From there, we’ll create a custom treatment plan tailored specifically to you. Using 3D technology and the latest digital imaging, we’ll provide a personalised preview of how your new smile could look. Once you’re happy with the design, we’ll get your first set of aligners made.













“Such a clean and friendly practice. You can tell Phil loves his job, he’s amazing at what he does. Tina the receptionist can’t do enough to help you. All the staff are super friendly and helpful. Would highly Recommend.”

“A huge thank you to Halima and Jess at Oakland Dental Practice. My orthodontic treatment took just over a year. Halima was absolutely brilliant in explaining each stage and went the extra mile to ensure all bases were covered. I’m really happy with my teeth.”

“Friendly professional atmosphere. Excellent routine dentistry and recently had amazing results with tooth whitening, would highly recommend practice.”

“Amazing dentist. Highly recommend. Received composite bonding treatment, did a perfect job.”

“Lovely clean practice, friendly staff, and the best cleaning I’ve had. Airflow left my mouth feeling brand new. Thank you Adele and Rosie. Great team!! See you soon.”

“Absolutely amazing service from all of the staff and I have been coming here for years. Kind, friendly and very helpful when talking you through your treatment. Dr Philip Eccles has kept me updated throughout the process and I am so happy with the outcome of my treatment. I couldn’t recommend Oakland Dental Family Practice enough!”
At Oakland Orthodontics, your brace journey is designed around you. From your first consultation, our experienced team will welcome you, understand your goals, and guide you through each stage of treatment with clarity and care.
We’ll explain all suitable options in simple, straightforward language and create a personalised plan to achieve the smile you want, at a pace that feels comfortable. From your initial visit to your final reveal, we’re here for the questions, the adjustments and every milestone along the way.