

Treatments
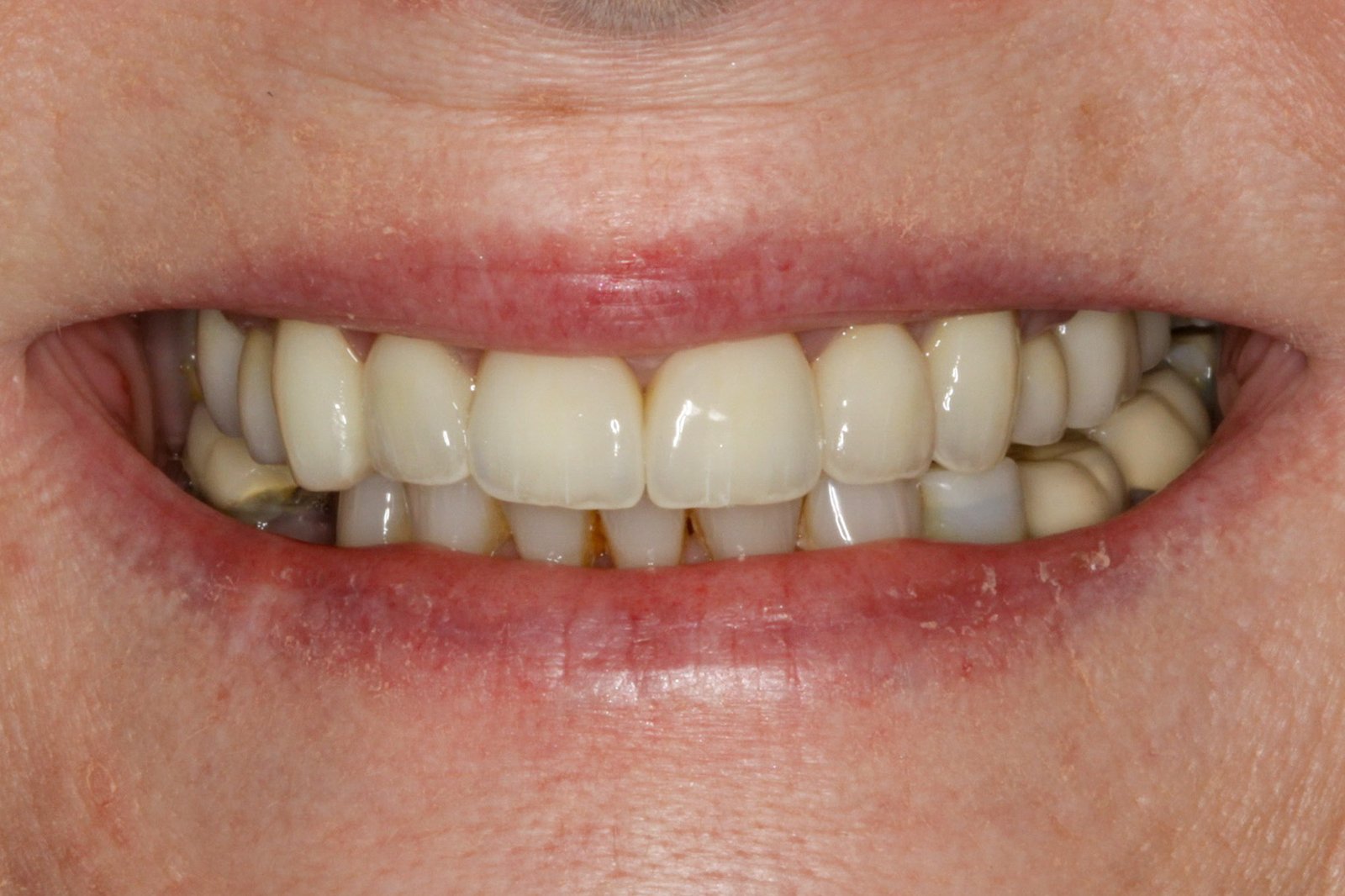
A smile makeover is a comprehensive cosmetic treatment designed to dramatically improve the appearance of your smile. The result is a fresher, more youthful look that enhances your overall confidence.
A smile makeover is a personalised treatment plan designed to meet your unique goals and needs. During your initial consultation, we’ll carry out a thorough evaluation of your oral health and smile; this may include photos, X-rays, and dental impressions.
Based on the findings and what you’d like to achieve, we’ll recommend a tailored combination of cosmetic treatments. These may include bonding, teeth whitening, tooth-coloured fillings, veneers, crowns, implants, or bridges. We’ll talk you through every part of the plan, including the cost, timeline, and expected results.
Thanks to modern technology, you’ll also have the opportunity to preview your new smile in wax before any permanent work is completed, giving you the chance to make final adjustments if needed.
A smile makeover can truly transform your appearance, giving you a refreshed, youthful smile you’ll feel proud to share.
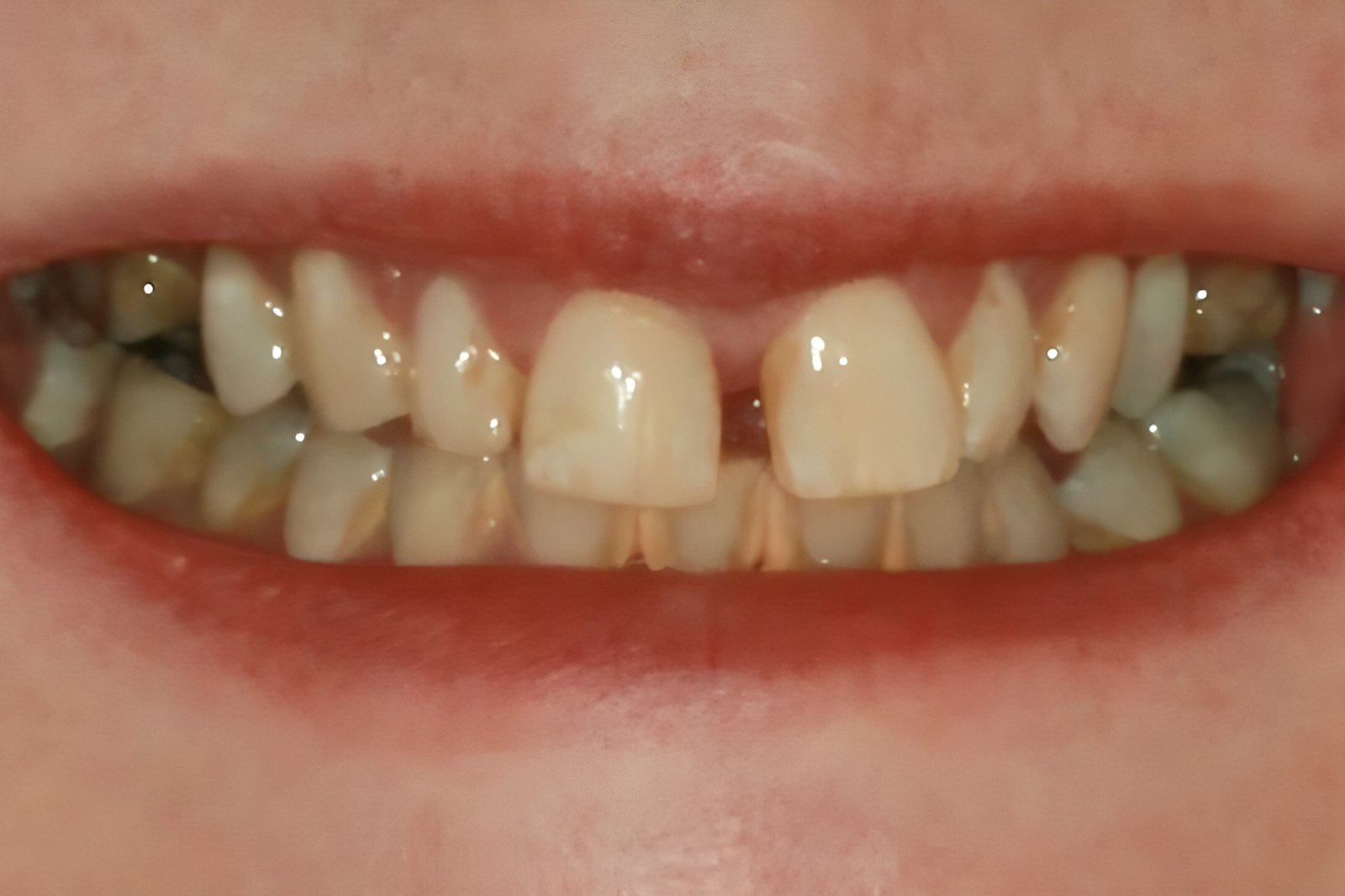
A smile makeover can address a range of common dental imperfections to create a more aesthetically pleasing smile, including the following:
◉ Tooth discolouration or staining
◉ Crooked or misaligned teeth
◉ Uneven gaps or spacing between teeth
◉ Missing teeth resulting in visible gaps
◉ Chipped, cracked, or fractured teeth
◉ Teeth that appear short or worn
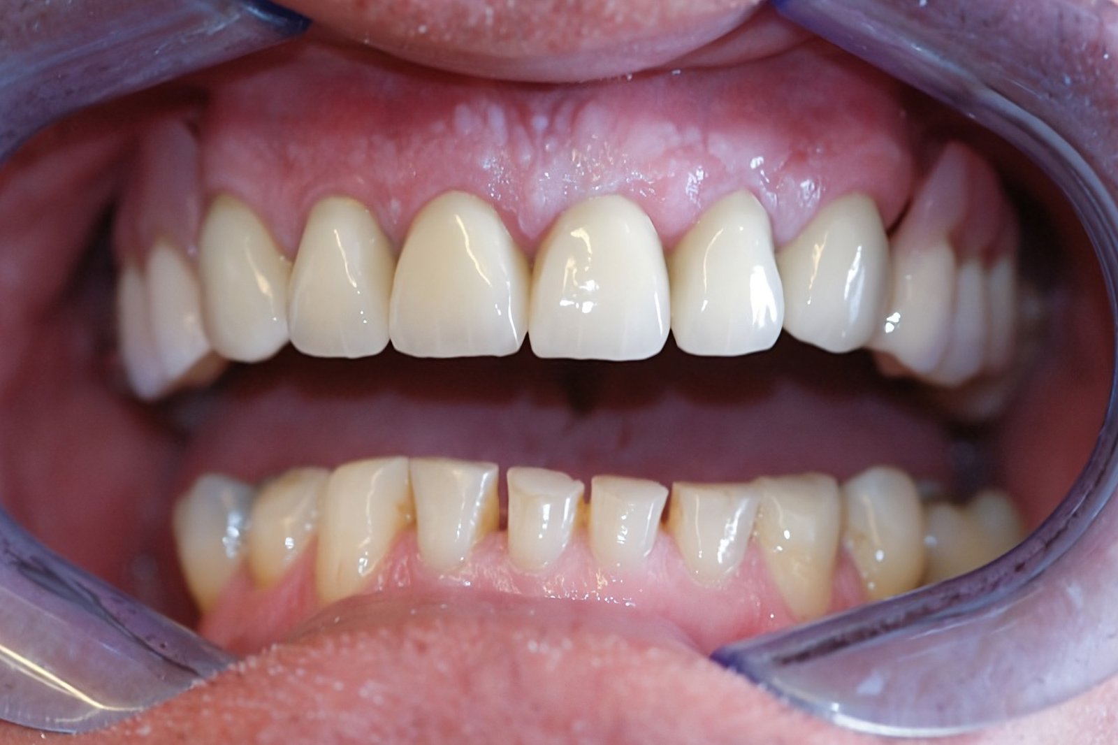
A successful smile makeover is a team effort between you, your dentist, and our skilled laboratory technician to create a personalised treatment plan. Before starting the transformation, we perform a thorough oral health screening to assess the condition of your mouth. Because every patient’s needs and goals are unique, there’s no one-size-fits-all approach to smile makeovers. This process requires careful attention to detail and a keen eye for aesthetics.
We’ll examine your teeth, gums, bite, and supporting structures to ensure you’re a suitable candidate. If any oral health issues – such as gum disease – are present, these will need to be treated before beginning your smile transformation.
To help you envision the final result, we use digital software to create a mockup of your new smile, which you can preview before any procedures begin. Additionally, we can share before-and-after photos of previous cases, giving you a clearer picture of our expertise and the quality of our work.
A smile makeover is a comprehensive approach to improving the appearance of your smile using one or more cosmetic dental treatments. These may include bonding, teeth whitening, tooth-coloured fillings, veneers, crowns, implants, or bridges. Along with enhancing aesthetics, a smile makeover can also address functional concerns, helping you achieve a confident, radiant smile that feels as good as it looks.
A smile makeover is a personalised treatment plan designed to meet your unique goals and needs. During your initial consultation, we’ll carry out a thorough evaluation of your oral health and smile; this may include photos, X-rays, and dental impressions.
Based on the findings and what you’d like to achieve, we’ll recommend a tailored combination of cosmetic treatments. These may include bonding, teeth whitening, tooth-coloured fillings, veneers, crowns, implants, or bridges. We’ll talk you through every part of the plan, including the cost, timeline, and expected results.
Thanks to modern technology, you’ll also have the opportunity to preview your new smile in wax before any permanent work is completed, giving you the chance to make final adjustments if needed.
A smile makeover can truly transform your appearance, giving you a refreshed, youthful smile you’ll feel proud to share.
A smile makeover can address a range of common dental imperfections to create a more aesthetically pleasing smile, including:
◉ Tooth discolouration or staining
◉ Crooked or misaligned teeth
◉ Uneven gaps or spacing between teeth
◉ Missing teeth resulting in visible gaps
◉ Chipped, cracked, or fractured teeth
◉ Teeth that appear short or worn
A successful smile makeover is a team effort between you, your dentist, and our skilled laboratory technician to create a personalised treatment plan. Before starting the transformation, we perform a thorough oral health screening to assess the condition of your mouth. Because every patient’s needs and goals are unique, there’s no one-size-fits-all approach to smile makeovers. This process requires careful attention to detail and a keen eye for aesthetics.
We’ll examine your teeth, gums, bite, and supporting structures to ensure you’re a suitable candidate. If any oral health issues – such as gum disease – are present, these will need to be treated before beginning your smile transformation.
To help you envision the final result, we use digital software to create a mockup of your new smile, which you can preview before any procedures begin. Additionally, we can share before-and-after photos of previous cases, giving you a clearer picture of our expertise and the quality of our work.

















“Such a clean and friendly practice. You can tell Phil loves his job, he’s amazing at what he does. Tina the receptionist can’t do enough to help you. All the staff are super friendly and helpful. Would highly Recommend.”

“A huge thank you to Halima and Jess at Oakland Dental Practice. My orthodontic treatment took just over a year. Halima was absolutely brilliant in explaining each stage and went the extra mile to ensure all bases were covered. I’m really happy with my teeth.”

“Friendly professional atmosphere. Excellent routine dentistry and recently had amazing results with tooth whitening, would highly recommend practice.”

“Amazing dentist. Highly recommend. Received composite bonding treatment, did a perfect job.”

“Lovely clean practice, friendly staff, and the best cleaning I’ve had. Airflow left my mouth feeling brand new. Thank you Adele and Rosie. Great team!! See you soon.”

“Absolutely amazing service from all of the staff and I have been coming here for years. Kind, friendly and very helpful when talking you through your treatment. Dr Philip Eccles has kept me updated throughout the process and I am so happy with the outcome of my treatment. I couldn’t recommend Oakland Dental Family Practice enough!”